For who speaks English, please see this link: http://arc-team-open-research.blogspot.com.br/2013/12/the-mummy-boy-who-came-from-video.html
Em maio de 2013 viajei a Curitiba por ocasião dos eventos Feliz Dia da Múmia 2, onde eu palestraria e a mostra Faces da Evolução onde fora apresentada uma série de reconstruções faciais de hominídeos modeladas por minha pessoa e o arqueólogo Dr. Moacir Elias Santos.
O evento foi um sucesso e no auge da empolgação, já começamos a traçar os planos para uma nova mostra. Como o pessoal do Museu Egípcio e Rosa Cruz contava com uma múmia andina de uma criança de mais ou menos dois anos (quando morreu), decidimos que a próxima mostra contemplaria as crianças do passado. Como seriam suas casas, seus brinquedos e a realidade histórica do momento em que viviam.
A exemplo da Faces da Evolução a mostra Crianças do Passado (título provisório) seria composta por reconstruções faciais de crianças de vários períodos.
Até aquele momento tínhamos a múmia de St. Luis, um bebê pertencente ao período Romano do Egito Antigo. Além dele a supracitada múmia andina, mas ainda não havíamos feito a tomografia dela.
Passada a empolgação inicial, a vida voltou ao normal, mas o desejo de reconstruir faces não foi embora. Há alguns dias atrás, escrevendo um artigo sobre uma múmia que extraí de um vídeo, tive que recorrer ao material original postado no Vimeo, (postado pelo The Field Museum) para me lembrar em que parte se encontraram as fatias de tomografia correspondentes aquela múmia.
Quando revi o vídeo, quase tive um ataque do coração, pois não sei por que cargas d’água, na época, mais ou menos um ano atrás, não percebi que dentro daquela filmagem haviam pelo menos 2 ou três tomografias múmias… e uma delas de corpo inteiro!
Quando me sobrava algum tempo entre um trabalho e outro, me dedicava a extração das tomografias. A coisa funciona mais ou menos assim.
1) Converte-se o vídeo em uma sequência de imagens.
2) Edita-se a sequência de imagens isolando a área onde aparece a tomografia (como na imagem acima).
3) Converte a sequência de imagens simples em arquivos DICOM.
Esse processo já fora explanado em um post anterior, de modo que se você desejar saber dos pormenores, basta acessá-lo.
Fiquei bastante entusiasmado quando abri o arquivo no InVesalius e me deparei com aquela múmia completa dentro de um lindo ataúde. Até aquele momento, não imaginava que se tratava de um garoto.
Por falar em ataúde, deu para ver os detalhes do madeiramento, tanto internamente quanto externamente.
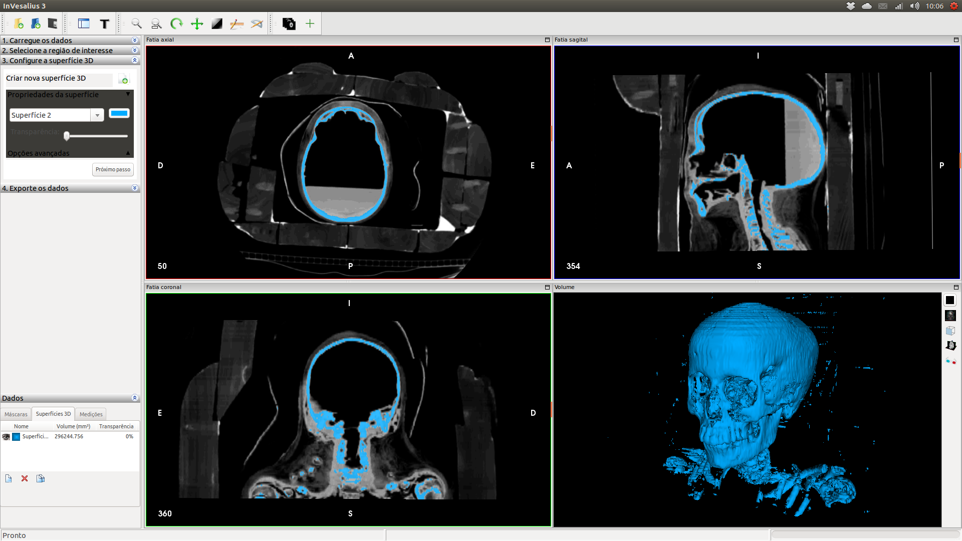
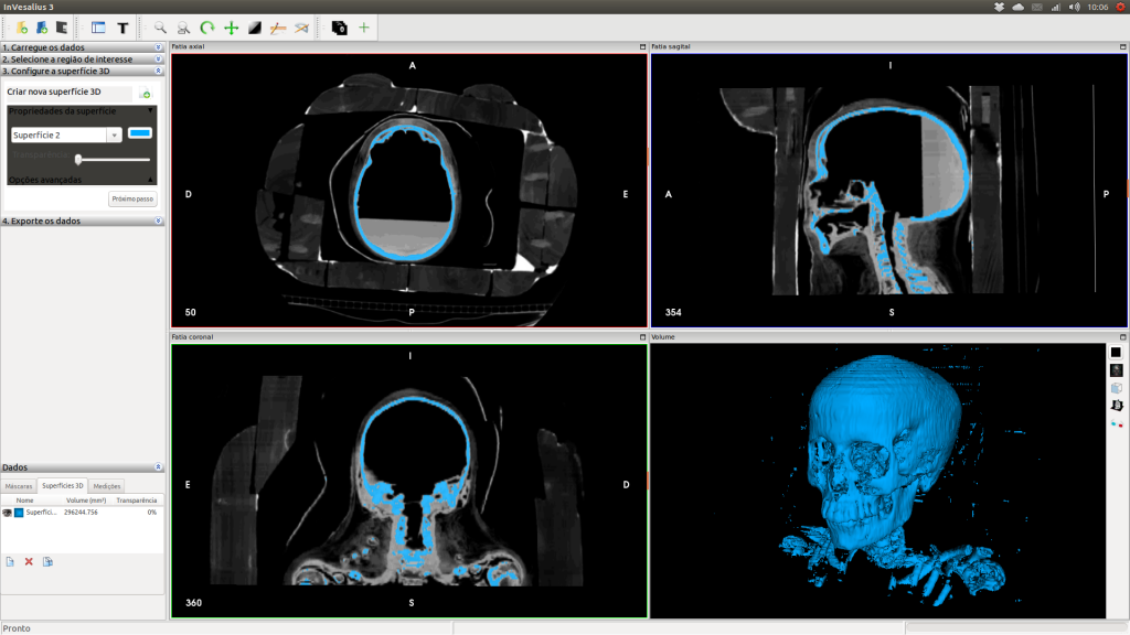
Ao se filtrar os dados no InVesaius, ocultando a faixa correspondente a madeira, eis que o esqueleto lá dentro se revelou em 3 dimensões. As “impurezas” em volta do ataúde ao que parece trata-se do material de vedação entre uma madeira e outra.
Uma das características interessantes de uma tomografia é que ela podem vir na escala. No caso do menino tive que lançar mão das referências apresentadas no vídeo para colocá-lo na escala correta, e inclusive descobrir a sua altura desidratado, que é de 1.37m. A partir desse dado iniciei a estimativa da idade.
Para estimar a idade, uma das formas mais acessíveis é analisar os dentes. O problema é que filtrar a área dos ossos se tornaria um trabalho infindável, posto que o material de vedação seria exportado juntamente com o crânio. Felizmente o InVesalius conta com uma ferramenta de seleção e exclusão de áreas, que acabou ajudando bastante na filtragem dos ossos, deixando praticamente apenas o crânio para exportação.
Uma vez importado ao Blender, ficou mais fácil ver os detalhes e atestar que se tratava de um menino entre 12 e 15 anos. Como soubemos que era um menino? Simples, a tomografia é de corpo inteiro, então as características que diferem um sexo do outro estavam evidentes na morfologia corporal.
Em seguida os músculos foram adequados ao crânio.
O mesmo foi feito com a pele. A partir de uma face previamente modelada e deformada até que se adequasse as características do garoto múmia. Um vídeo com essa técnica pode ser visto aqui.
Para finalizar utilizei a indumentária modelada apara uma reconstrução anterior e estava finalmente pronto o menino múmia que saiu de um vídeo.
Agradecimentos
Ao The Field Museum por postar o vídeo, que viabilizou todo esse trabalho.
